智慧赋能

intelligence empowers more

S60

彩色多普勒超声诊断系统

广告

  • 真实

    还原图像

  • 高端

    成像功能

性能优异的硬件架构,极大提升超声系统的运行效率和数据处理能力。相比以往超声成像系统,Wis+平台为您带来极快的响应速度和成像帧频,提升检查流畅度。

前端信号 真知灼见

S60探头工艺,从前端信号处理每一个环节采集无损声学数据,真实还原组织原貌,再现解剖细节。

  • 腹部单晶体探头( C1-6A )

  • 新型复合材料探头( 12L-A )

  • 高分辨率容积探头( VC2-9A )

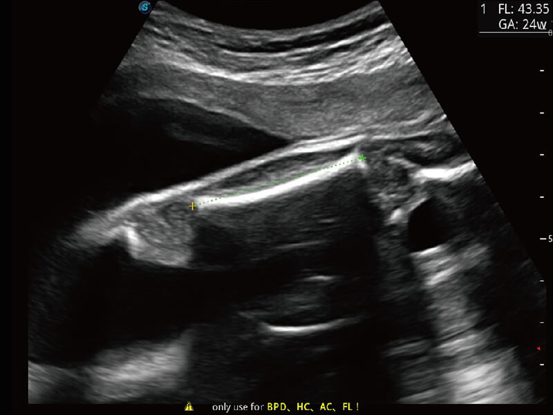
S-Fetus 产科扫查助手

  • 缩短

    操作时间

  • 提升

    准确率

  • 单次

    按键操作

高分辨率容积成像 栩栩如生

超宽频带技术,为容积成像带来优质的二维图像基础,为您呈现丰富的结构细节,栩栩如生地展示宝宝的宫内形态以及各种组织的立体结构。

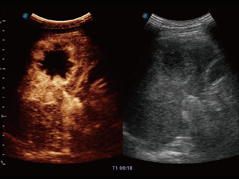
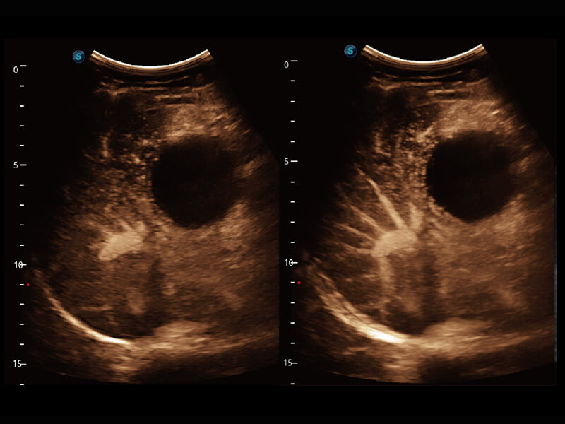
Micro F 显微血流成像 明察秋毫

友好人机交互 予你所求

S60将从人机工程设计、界面布局、工作流、操控性等方方面面为您带来亲近、友好、便捷的操作体验,竭尽所能简化您的工作流程。

  • 用户权限管理

  • 教学软件

  • Wifi传输

远程会诊应用方案 天涯咫尺

完善的远程应用方案,随时随地满足您远程会诊、教学、质控、会议等互联互通需求。

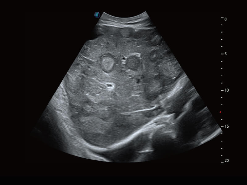
临床图

1

2

3

4

5

6

7

8

9

10

11

12

13

14

15

16

17

禁忌内容或者注意事项详见说明书